颅内动脉粥样硬化狭窄是引起缺血性脑卒中的重要原因之一。对于存在血流动力学障碍及药物治疗无效的患者来说,血管内介入治疗颅内动脉狭窄是目前主要的治疗方式。
但传统的介入手术方式,在治疗过程中需通过300cm交换导丝反复全程交换微导管、球囊、支架导管等器材多次,需要主刀和助手丰富的操作经验和默契的术中配合,手术步骤相对较多,延长手术时间。
输送型球囊扩张微导管正是在这一背景下应运而生。它是一种可适配于颅内动脉狭窄治疗用支架的球囊扩张微导管,用于改善脑组织缺血。它兼具球囊导管、微导管两种导管的功能,集球囊扩张及颅内支架输送功能于一体,实现了手术过程中的器械“零交换”。
“零交换”技术,是缺血性脑血管疾病介入治疗理念的创新,通过使用输送型球囊扩张导管,可以免去手术步骤中的导丝交换、球囊交换以及支架微导管交换步骤,在球囊扩张后直接释放支架,极大简化手术步骤,缩短手术时间,减少了耗材的应用,降低交换操作带来的手术风险,提高手术安全性,为患者带来福音。
近日,上海蓝十字脑科医院【同济大学附属上海蓝十字脑科医院(筹)】学术副院长、4A脑血管病一科主任席刚明教授率团队顺利应用“零交换”技术完成一例右侧大脑后动脉重度狭窄介入治疗手术。该技术填补了医院治疗颅内动脉狭窄术式上的空白,标志着医院在神经介入治疗领域迈上新台阶。

▲ 席刚明教授、王贵平博士在为患者手术
患者为老年男性,因脑梗加重入院。脑血管造影显示,右侧大脑中动脉M1段闭塞、右侧大脑后动脉P1、P2交界段重度狭窄。并且,患者血管条件差、迂曲明显、责任血管纤细,手术极其容易出现出血,局部血栓形成等风险,手术难度不言而喻。
4A脑血管病一科主任席刚明教授、4A脑血管病一科副主任王贵平博士围绕患者病情和检查结果综合研判,为患者制定了详细的手术方案,即通过“零交换”技术施行微创介入,行右侧大脑后动脉球囊扩张术+支架置入术。
术中,通过输送型球囊扩张微导管轻松越过狭窄病变,完成右侧大脑后动脉狭窄段的球囊扩张及支架置入等步骤,无需进行微导管交换、球囊交换以及支架微导管交换的过程。手术治疗部分仅耗时30分钟。术后造影显示右侧大脑后动脉P1、P2交界段重度狭窄明显改善。行支架CT见支架成形良好。
术后,患者无新发神经功能缺损。头晕,视物模糊,走路不稳等症状明显好转。

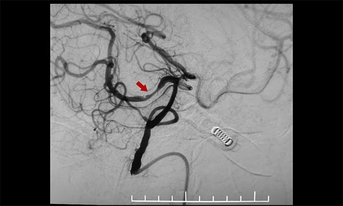
▲ 术前,右侧大脑后动脉重度狭窄

▲ 术后,右侧大脑后动脉狭窄明显改善
截至目前,上海蓝十字脑科医院脑血管病科神经介入团队已开展了十余例“零交换”技术治疗颅内动脉粥样硬化性狭窄的手术,涉及大脑中动脉、大脑前动脉、大脑后动脉、基底动脉、颈内动脉颅内段、椎动脉V4段等颅内动脉部位,均为高难度四级神经介入手术。
上海蓝十字脑科医院将紧跟医学前沿,不断开展新技术、新项目,持续提升医疗服务质量,为广大人民群众的生命健康保驾护航。
此文章仅作为临床学术研究、学术交流使用!
上一篇:季节交替温差大 于耀宇主任提醒:换季时警惕“不定时炸弹”引爆夺命 下一篇:席刚明教授:双侧颈动脉重度狭窄的治疗策略
2026年5月25日是世界预防中风日。脑卒中防治重在“早发现、早预...【详细】


