“老头子啊,为了多买几只瓜,差点把老命给丢了……”顾阿婆一边舀起一勺精心熬制的鸽子汤送到老伴嘴边,一边“数落”着他的冒失。三个月前的一次重大意外事故,差点把这个和睦的小家庭拆散了。如今,躺在蓝十字脑科医院病床上的姚老伯在医护人员的全力救治下已脱离危险,默默喝着爱心汤的他,百感交集。
去买瓜的老伴意外“失联”
7月23日中午,正是一天中最热的时候。为了让孩子们下班回家就能吃好喝好,今年65岁的姚老伯顶着烈日,独自骑着自行车去不远处的农贸市场买水果——对于退休在家的老人来说,生活安稳平淡,这也算是一件日常“工作”了。
时间滴答滴答地过去了,华灯初上,做好晚饭等候在家的顾阿婆见老伴迟迟未归,隐隐觉得有些不安。“他有时候也会去邻居家串门,但一般都会打招呼的,这次一点声音也没有。”顾阿婆说。等到晚上10点,她终于坐不住了,赶紧拨打了110报警。在警方帮助下,顾阿婆获得几个可能知道姚老伯下落的联系方式,并逐一拨打。终于,她在离家不远的一家医院了解到一些蛛丝马迹——当天下午,有一位体貌特征相符的老人摔倒在路边,被路人发现后拨打120紧急送来医院。由于受到严重的颅脑损伤,患者正在重症监护室抢救。但因老人处于昏迷状态,且无法识别身份,不能判断伤者是否就是姚老伯。
多买几个瓜 老伯闯进“鬼门关”
来不及多想,扔下电话的顾阿婆和孩子立马赶到医院,经确认,重伤的老人正是自己的丈夫!
时间回拨到7月23日中午,农贸市场里的西瓜个大又新鲜,颇受姚老伯的青睐。作为一个持家的上海男人,他跟摊贩讨价还价一番后,决定多买几个回家慢慢吃。“几个西瓜一放进车前兜,龙头一下子重了,不好掌握了。”姚老伯回忆,当时他小心翼翼骑着车,也算平安无事。直到那座熟悉的铁路下立交出现在眼前……
位于沪闵路的铁路下立交桥跨度长,坡度抖。平日里姚老伯多次骑行通过都没遇到状况,但这次不一样了。满载西瓜的自行车下坡时不断加速,犹如脱缰野马,慌了神的姚老伯赶忙捏紧刹车调整龙头方向,但失控的自行车还是撞在桥护栏上。姚老伯的左侧额颞部重重撞击桥体,瞬间失去意识。殷红的鲜血从伤口流出,精挑细选的西瓜也碎了一地……
姚老伯告诉笔者,从自行车失控摔倒后直到8月3日意识恢复,当中这段时间发生了什么,他完全没有记忆。
顾阿婆事后向知情人了解到,姚老伯被发现时是“倒在一摊血里”,怎么叫也叫不醒。在医院急查头颅CT显示,伤者颅内积气,有颅底骨折的可能;左额颞部硬膜下血肿明显。“再晚些送医抢救,可能人就没了。”顾阿婆心有余悸地表示。
经过对症保守治疗,姚老伯终于渐渐恢复了意识,但后遗症却非常明显:口嘴歪斜,不能说话,右侧肢体偏瘫无法动弹。
专业治疗护理 换来至高赞许
从医院回到家里调养的姚老伯,状况一度时好时坏。没过几天,他再度出现了昏迷的情况,着实把家人吓得不轻。经过亲友推荐,这回顾阿婆决定将老伴送至上海蓝十字脑科医院进行治疗。

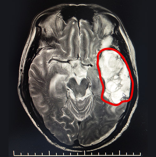
▲MRI影像显示,患者左侧额颞叶部较大面积血肿
在神经内科5病区,经验丰富的李振并主任详细了解了患者受伤和抢救的经过,在完善相关检查的基础上,给出了中西医结合和康复相辅相成的系统治疗方案。李振并主任表示,患者入院后的头颅影像检查显示,其左侧额颞叶出血虽正在慢慢吸收,但仍有较大面积的低密度灶,左侧脑室受压明显。为了加快血肿吸收速度,在通过药物降颅压的同时,营养患者的神经和脑细胞。
李振并主任还请院中医科和康复科专家对姚老伯进行会诊,在药物治疗的同时给予针灸疏通经络以调节其中枢神经功能,改善肌肉、关节活动。针对偏瘫的问题,为姚老伯制定了关节松动训练和偏瘫肢体综合训练计划,促进血液循环,调节神经功能。

▲姚老伯恢复迅速,已能站立行走
经过三个月系统专业的治疗,从坐着轮椅,到可以独自站立行走;从不能说话,到与家人无障碍沟通……在医护人员的努力和家人的关爱下,姚老伯离全面康复的目标越来越近。
就在最近,为表达对李振并主任团队的诚挚谢意,姚老伯夫妇特地将一面写有“妙手回春,使我重生”的精美锦旗,送到李振并主任手中。“治病救人是医生的职责所在,这面锦旗太厚重了,既是对大家工作的肯定,也是促使我们不断提高进步的驱动力!”李振并主任表示。

▲患者至高的赞许,是对医者最好的鼓励
此文章仅作为临床学术研究、学术交流使用!
上一篇:大学生熬夜突发脑梗!脑中风“恋上”小鲜肉? 下一篇:她二十四岁,人生的悲喜剧却如此起伏跌宕……
2026年5月25日是世界预防中风日。脑卒中防治重在“早发现、早预...【详细】


