青年女子突然闭经,开始怎么也找不出原因,最后仔细检查发现竟是垂体瘤作怪。专家提醒,青年女性有不明原因的闭经或泌乳等异常现象,在进行妇科检查的同时,应及时进行性激素测定及颅脑影像检查,警惕垂体瘤的发生。
今年23岁的莉莉(化名)芳华正茂就遇到这样的烦恼,她连续11年例假异常,并且近些年还出现面容改变、手指粗短等症状,最终到医院查出是混合性泌乳-生长激素垂体瘤。
垂体瘤约占颅内肿瘤的 10%,根据垂体瘤是否具有激素分泌功能,大致可以分为无功能垂体瘤和功能性垂体瘤,无功能性垂体瘤约占所有垂体瘤的 30%,功能性垂体瘤约占 70% 左右。其中功能性垂体瘤中泌乳素腺瘤约占 50% 左右,生长激素腺瘤约占 20%,促肾上腺皮质激素腺瘤(库欣病)约占 15% 左右,促甲状腺素腺瘤约1%左右,性激素腺瘤罕见,而混合性垂体瘤约14%左右。
混合性垂体瘤,如混合性泌乳素(PRL)-生长激素(GH)垂体腺瘤,虽然比较少见,但却是最常见的多激素类型,同时产生泌乳素、生长激素。血液中这些激素水平升高会导致:肢端肥大症和月经紊乱、闭经、溢乳、不孕不育等症状。

▲ 月经紊乱、不孕不育等要警惕垂体瘤可能
妙龄女子“例假”异常11年 最终查出垂体瘤
莉莉自11年前就出现月经不规律表现,每次月经持续5天至20天不等,月经周期为30天至45天不等,经量时多时少。4年前,自感乏力不适,在老家接受口服中药治疗,效果一般。2019年5月份出现停经症状,随后在当地医院进行口服中药治疗。
家人一直以为她内分泌失调,遂长期吃中药调理。除了生理期异常,这几年,莉莉的容貌也不知不觉发生了变化,四肢指关节、鼻子较常人变得粗大,面容也变得宽大,面相有点“粗犷”。“我们长期生活在一起,这些细微变化确实没注意,一直以为她在长身体。”家人说道。
直到今年,辗转到省会医院求医时,检查女性激素发现泌乳素升高,做完头颅磁共振发现鞍区占位,考虑垂体瘤。为谨慎起见,家人带着莉莉慕名来到上海蓝十字脑科医院寻求进一步治疗。
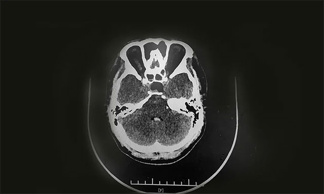
经过医院仔细检查发现:鞍区MRI平扫+增强显示:蝶鞍扩大,鞍底骨质下陷;鞍内垂体可见类椭圆形异常信号,大小约2.5*1.6cm,垂体柄未见明显显示;鞍上结构尚清,视交叉上抬;病灶与双侧海绵窦分界清晰;所示蝶窦局部黏膜增厚。
检查催乳素超1000μIU/mL,生长激素超50ug/L,均远超正常值。入院查体可见口腔黏膜、口唇、鼻粘膜等过度发育增厚,皮肤粗糙,双手手指粗短,杵状指。
结合病史、影像等,神经外科6B病区潘仁龙主任、李士其教授、吴治群博士会诊后考虑为混合性泌乳-生长激素垂体大腺瘤,正是垂体瘤导致莉莉月经异常并停经,以及面容改变、肢端粗大等。手术指征明确,应尽快手术治疗。

▲ 影像检查显示:垂体大腺瘤,超蝶鞍生长

▲ 催乳素、生长激素远超正常值
混合性泌乳-生长激素垂体瘤如何导致月经紊乱、肢端肥大
泌乳素是一种多肽激素,也叫催乳素(PRL),是一种由垂体前叶腺嗜酸细胞分泌的蛋白质激素,主要作用为促进乳腺发育生长,刺激并维持泌乳,还有刺激卵泡LH受体生成等作用。妇女在怀孕后期及哺乳期,泌乳素分泌旺盛,以促进乳腺发育与泌乳。非孕妇女血清中泌乳素水平最高值一般不会超过20纳克/毫升。

泌乳素对人体内分泌系统起着重要作用,主要影响性腺的功能。小剂量的泌乳素对女性卵巢雌激素、孕激素的合成起促进作用,正常水平的泌乳素对维持黄体功能是必需的。对男性而言,在睾酮存在下,泌乳素能促进前列腺及精囊腺的生长,还可增强促黄体素对间质细胞的作用,使睾酮合成增加。然而,大量的泌乳素分泌则有抑制作用。一般情况下,非泌乳期的女性,高泌乳素水平会干扰性腺的功能。若泌乳素水平过高时,下丘脑水平会减弱黄体生成素的脉冲性分泌,抑制雌激素对下丘脑的正反馈作用,从而阻碍排卵前黄体生成素高峰的发生,影响排卵;同时高泌乳素能抑制颗粒细胞合成孕酮,使孕酮分泌减少,出现性功能障碍、溢乳、闭经与不育等症状。
该混合性泌乳-生长激素垂体瘤之所以会引起患者远端肢体肥大和外貌的改变,主要是因为来自垂体细胞的原发缺陷。肢端肥大症患者对促甲状腺激素释放激素(TRH)兴奋或促性腺激素释放激素(GHRH),刺激有异常的生长激素(GH)升高反应。生长激素分泌瘤无论在体内还是在体外,对GHRH的反复刺激能持续分泌GH,使得生长激素腺瘤细胞失去了正常的自稳机制,腺瘤细胞受体及受体后功能异常,从而导致患者远端肢体肥大和外貌的很大改变。
其导致的远端肢体肥大患者,不仅会手脚、鼻子、嘴唇变大、头颅及面容宽大、颧骨高,还会出现声音嘶哑、睡眠打鼾等情况,患者舌头和咽喉软组织也会随之变得肥厚,尤其是晚上睡觉时,很容易引起呼吸问题。
李士其教授经鼻蝶手术切除垂体大腺瘤
在制定详细手术方案并充分完善术前准备后,10月19日,李士其教授在吴治群博士、黄秀夫医生协助下经蝶窦入路成功为患者进行了手术。
术中,在蔡司显微镜(双荧光)下,见黄白色肿物,质韧,其外有包膜覆盖。李士其教授在充分保护好海绵窦、颈内动脉、视神经等结构前提下,将鞍内可见肿瘤顺利切除,肿瘤大小约2.5cm*1.5cm*1.5cm,并留取肿瘤送检病理。手术顺利完成,术中只失血约20毫升。
目前,莉莉正在恢复中,经过检查其体内泌乳素、生长激素正逐步恢复正常。李士其教授叮嘱其出院后要做好定期复查。

▲ 李士其教授正在为患者手术

▲ 术后CT显示肿瘤被切除
当出现这些症状时要警惕垂体瘤
1、性欲下降、月经紊乱、不孕不育
泌乳素腺瘤是最常见的垂体腺瘤,会影响到男性性功能,如性欲下降。更常见的是引起女性的月经紊乱、月经减少、稀少或者是停经,甚至是不孕不育。许多女性患者由于月经不调、闭经、不孕而辗转在妇产科治疗,她们往往做了很多检查,吃了很多药物,最后到神经外科才确诊为垂体瘤。还有一些男性患者,因表现为阳痿、性功能下降而自行服用补肾、壮阳药物,结果越补越差,最后因视力下降辗转到神经外科就诊时,往往已经有三四年的性功能下降史。如果患者出现了以上症状,到妇科、男科治疗没有效果的时候,也应该去神经外科检查,排除垂体瘤的可能。
2、脚大、手指大、嘴唇大
巨人症和肢端肥大症,是生长激素腺瘤的常见症状,有些患者会明显表现为鼻大、嘴唇厚、手大、脚大。在临床上,会碰到一些病人发病后,穿鞋子的码数会不断增加,成年人原来可能穿40码鞋子,有可能会穿到45码,增长的速度很快。另外,此类病人的脸型也很特殊,看上去颧弓突起,鼻子也大、嘴唇也厚实,像特写的画面。生长激素腺瘤主要是对肢体和面部的影响,如果出现了这些明显的症状,要考虑是否得了垂体瘤。
3、视力下降
当垂体瘤不断增大,会对周围的重要组织产生压迫作用,最常见的是视神经,会引起视力、视野的改变。通常来说短期出现视力下降,就需要高度怀疑垂体瘤,特别是老年人。在临床上,经常有这种病人,病人发现视力下降,一直看眼科,看了好长时间都没发现是什么问题,到后面压迫很厉害了,最后才考虑到是垂体瘤,做了检查后证实是垂体瘤。
4、甲亢表现
甲状腺功能亢进(甲亢)常常表现为多汗、多食、消瘦、乏力、心率快、易激动、突眼及甲状腺肿大。大部分甲亢是由于甲状腺自身的病变导致的,但也有一部分是由垂体腺瘤过度分泌促甲状腺素,从而促进甲状腺体增生,分泌甲状腺素引起甲亢。患者如果有甲亢的症状,可先查看有无甲状腺本身的问题,但同时也应该考虑到会有垂体的问题,这样不至于导致误诊。
此文章仅作为临床学术研究、学术交流使用!
上一篇:长在脑子里的淋巴瘤少见又凶险 放疗专家王晓东:宜早诊断早治疗 下一篇:七旬舞者脑梗偏瘫陷绝望,功能神经内科戴主任及团队精心医治让他 “舞动人生”
2026年5月25日是世界预防中风日。脑卒中防治重在“早发现、早预...【详细】


