很多人都有这样的错误经验认识:认为头痛是由于颈椎压迫了神经,调理调理就好了。其实,头痛的原因非常复杂,需要及时到正规医院检查,确定病因,否则会贻误较佳治疗时间。
做家政服务工作已经二十多年的孙阿姨,由于工作原因患有轻度颈椎病,偶尔会出现头痛头晕的症状,但只要适度休息就能缓解。“但这次头痛却与以往不同,第一天疼痛还能忍受,第二天、第三天头痛愈演愈烈,已经无法忍受,起初还以为是颈椎压迫神经了,看着就让人心疼。”孙阿姨的老伴说。
为了寻求进一步治疗,孙阿姨来到蓝十字脑科医院进行就诊,神经外科6B病区主任详细了解孙阿姨的病史、病情并进行影像检查,发现并不是颈椎病加重导致头痛头晕,反倒发现了另外一种疾病……
三年前,她因肾癌切除左肾
2015年对于孙阿姨一家人来讲,本来是喜庆的一年,因为他们的宝贝儿子将在五一举行结婚典礼,可偏偏在三月份孙阿姨体检的时候,被医院告知患有肾癌,要及早手术,以防严重和恶化。
“本来给孩子准备结婚的钱,却给我看病用了,孩子的婚礼也因此推迟到了第二年。”孙阿姨内疚的回忆道。“之后我做了左肾切除手术,手术顺利,医生告诉我以后要定期复查,以防复发,想想自己也算幸运,逃过了一劫。”
可谁又曾料想,今年十月中旬她正在雇主家做饭,突然感觉头痛头晕,起初还能忍受,以为是自己多年的颈椎病犯了,也没在意。可到了第二天、第三天头痛不但没有丝毫减轻,反倒更加严重,头痛一阵一阵的,呈进行性加重;第三天开始恶心,并出现了呕吐的现象,吸气时孙阿姨能感觉到前额部颅内进气,她和家里人都认为是颈椎病严重了。
这回头痛不简单,元凶竟是肿瘤
看到疼痛难忍的老伴,张叔叔和儿子商议后,立即把孙阿姨送到就近的蓝十字脑科医院就诊。蓝十字神经外科6B病区主任在详细了解了孙阿姨的病史后,对其进行了体格检查,发现患者除了头痛、呕吐等症状外,还站不稳,手也比较笨拙,根据多年经验判断,患者发病症状不是颈椎病加重引起的,考虑颅内占位性病变可能性非常大。在姬主任的建议下,孙阿姨进行了头颅MRI检查,结果显示:右侧小脑半球占位。
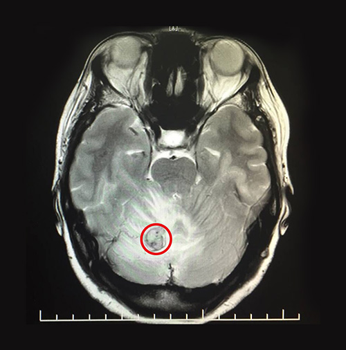
为了进一步明确病因,对患者又进行头颅MRI平扫+增强+PWI+DWI,结果显示:右侧小脑半球见一异常信号灶,边界清楚,T1WI为等高信号,T2WI等高信号,FLAIR呈略高信号,周围见大片状T1WI高水肿信号,DWI呈等低信号,病灶大小约15mm,增强扫描后可见强化。PWI示:右侧小脑半球病灶区脑组织CBV、CBF明显升高,MTT、TTP未见明显异常。

▲MRI影像显示,患者小脑有一个大小约15mmx15mm的肿瘤
最终孙阿姨被确诊为小脑肿瘤,结合病史(她曾于2015年3月进行左肾切除手术)考虑转移瘤。在诊断过程中,为了明确病因还进行了鉴别诊断,若是髓母细胞瘤,它多发于小脑蚓部,可伴小脑损害征,共济失调,病理检查可鉴别。若是脑膜瘤,它的表现主要为颅内压增高及局灶性症状及体征,脑膜瘤多发于蛛网膜粒分布部位,结合CT可鉴别。
“真是一波刚平,一波又起,老伴真是命运多舛,距离2015年3月的左肾切除手术才短短3年多时间,本以为大难不死必有后福,没想到现在又发现了小脑肿瘤,最初还以为头痛是颈椎压迫神经了。”,张叔叔在一旁偷偷抹眼泪。“老伴这次比我和儿子都坚强,经历过一次生死,她更加珍惜生命,还告诉我们她会积极配合治疗,让我们不要担心。”
专家发力,解除患者病痛
目前患者的肿瘤位置和肿瘤大小已经确定,且患者头痛愈烈、呕吐严重、进食困难,已无法忍受,手术指征明显,应及时手术才能有效缓解患者症状,延长生命,提高生活质量。
虽然患者手术指征明显,但毕竟是手术,还是存在一定的风险性,在得到家属同意和支持的情况下,主任将亲自为患者进行小脑肿瘤切除手术。姬主任积累了30多年丰富的临床经验,尤其擅长颅脑肿瘤,听神经瘤,脊髓脊柱等疾病的诊治和手术、介入治疗,成功治疗的患者数不胜数。
为了确保手术顺利进行,将严密观察孙阿姨的病情变化,完善其各项相关检查,同时对其进行脱水降颅压,维持水电解质平衡与营养支持,并根据她的具体情况进行了严格的术前评估,之后姬主任为孙阿姨制定了周密的个体化手术方案。

▲在显微镜下认真操作的姬主任
手术开始,在显微镜的助力下,医术精湛的主任很快便精准的确定了患者的病灶区,整个手术操作过程他都一丝不苟。术中,可见其红色肿物,表面较光滑,血供丰富,充分切断肿物周围血供,最终完整切除了整个肿物,大小约15mmx15mmx15mm,历经3个小时,手术顺利完成。
孙阿姨术后恢复的不错,整个人精神了许多,头痛比之前缓解不少,也没再出现呕吐的现象,但还需要时间慢慢休养和恢复,看着渐渐恢复的老伴,张叔叔舒心的笑了。“这次多亏了蓝十字脑科医院,发现病因及时,医生又专业负责,老伴才又躲过一劫。”
术后,将孙阿姨的小脑半球肿物送检,根据最后的检验结果,她的小脑肿瘤确定为之前手术的转移瘤,庆幸的是这次小脑肿瘤切除手术很成功,同时身体其他部位尚未被转移,但之后患者要定期检查,以防再次转移和恶化。
如何正确鉴别脑肿瘤与颈椎病?
姬主任介绍,在脑肿瘤中,小脑或脑干肿瘤常表现为头痛、眩晕、颈部不适和肢体麻木等,易被误认为是颈椎病;而颈椎病主要是由于骨质增生或者颈椎间盘突出压迫到颈部神经,而引起神经性头痛,容易被误认为脑肿瘤疾病。
脑肿瘤常见症状:头痛,一般是早期的症状,呈渐进性加重;呕吐一般与饮食无关,清晨多见,呈喷射性;视乳头水肿,早期一般无视力障碍,随着病情的发展,可出现视野缺损,视力迅速下降;还会伴有颅内高压、眼球震颤、共济失调等症状。
颈椎病常见症状:它的临床症状较为复杂,主要有颈背疼痛、上肢无力、手指发麻、下肢乏力、行走困难、头晕、恶心、呕吐等,它的临床症状与病变部位、组织受损程度及个体差异有一定关系。
两者主要症状区别:颅内肿瘤因肿瘤组织对前庭神经或者其中枢连接直接压迫,临床上患者除眩晕、呕吐症状外,多伴有颅内压增高,视乳头水肿、眼球震颤,共济失调等症状而颈椎病类似症状很少见。
最精准的诊断方法:是直接去医院做头部MRI、CT检查。MRI能很好的显示肿瘤的内部结构,尤其是它的三维成像特点,为脑肿瘤的鉴别诊断提供了更多精准的信息。
脑肿瘤因其在头部,严重危害着人们的健康,因此在做到早发现的同时,一定要注意它的鉴别诊断,并且一定要到正规的医院去做检查,这样才能有效避免误诊或延误治疗。
此文章仅作为临床学术研究、学术交流使用!
上一篇:正吃着火锅,一桌人全倒了,原来是…… 下一篇:31岁女子突发脑梗命悬一线 蓝十字脑科精心救治妙手回天
2026年5月25日是世界预防中风日。脑卒中防治重在“早发现、早预...【详细】


