慢性硬膜下血肿(CSDH),是中老年人常见的中枢神经系统疾病之一,血肿位于硬脑膜与蛛网膜之间,具有包膜。该病呈缓慢进展,随着血肿逐渐扩大,压迫脑组织,可引发头痛、认知功能障碍、偏身肢体乏力等症状。
在老年人群体中,慢性硬膜下血肿往往和意外跌倒有关。《中国慢性硬膜下血肿药物治疗专家共识》指出,慢性硬膜下血肿一般认为由外伤引起,是血液集聚在蛛网膜与硬脑膜之间形成的慢性占位性病变,常在头部外伤3 周以后形成。其发病率为1/10~13.1/10万人口,随着人口老龄化,CSDH的发病率不断升高,80岁以上老年人年发病率可达127/10万人。
中国山东网—感知山东2021年12月16日讯,88岁的李大爷外出遛弯时不小心摔了一跤,撞到了头部。他伸手摸了摸撞到的地方,没有破皮流血,就站起来拍了拍屁股,伸了伸腿,感觉腿也不疼,便自己走回了家。
随后的一段时间,李大爷感觉自己走路有点不稳,起初他也没在意,可是过了二十多天,他的症状仍然没有好转,被家人送至当地医院就诊。经过详细检查,结果李大爷被诊断为双侧慢性硬膜下血肿。
上海蓝十字脑科医院【同济大学附属上海蓝十字脑科医院(筹)】神经外科学术副院长兼6A神经外一科主任于耀宇表示,慢性硬膜下血肿是一种颅内出血性疾病,发病隐匿,进展缓慢。当血肿增大引起颅内压增高时,常常出现头痛、头晕或肢体活动障碍等临床表现。

由于行动不便、骨质疏松等等问题,老年人日常生活容易出现意外磕碰跌倒,如果外伤程度轻微,往往不会引起重视。通常,硬膜下血肿其病程可以达到数月甚至数年,由于病史较长,很多患者可能都无法准确回忆外伤病史,直至血肿程度不断增加,引起了相应的体征表现,才得以治疗。
长期以来,对于有症状CSDH的治疗,主要是通过颅骨钻孔或开颅手术来清除积血。尽管手术可以缓解症状,但单纯采用上述手术方式的复发率较高。尤其是对于高龄患者而言,手术耐受性和手术风险是医生难以回避的挑战。
2024年发表于《中国神经精神疾病杂志》的《慢性硬膜下血肿诊治进展》(作者:黄钦江,洪伟,李锐等)指出,CSDH单纯采取钻孔引流术,术后复发率为10.7%~14%,死亡率为 3.5%~12%。尤其是年龄大于90岁的患者,总体有效率仅为24%。部分患者由于长期服用抗凝或抗血小板药物,存在手术禁忌。
随着微创介入治疗技术的快速发展,脑膜中动脉栓塞术应运而生。其原理是基于CSDH的形成与血肿包膜上脆弱的毛细血管血液渗漏有关,而这些毛细血管的供血来源于脑膜中动脉。因此,通过阻断脑膜中动脉的血液供应,从源头上“断流”,促使血肿逐渐吸收,防止疾病加重和复发。
手术通过手腕部桡动脉或腹股沟部股动脉穿刺置鞘,将微导管输送至脑膜中动脉,然后使用专用胶、栓塞颗粒或弹簧圈等材料闭塞动脉,达到治疗目的。相较于传统手术,脑膜中动脉栓塞术是一种微创介入手术,具有创伤小、术中出血少、局麻下可完成等特点。
援引《慢性硬膜下血肿诊治进展》的表述,一项来自200例患者的系统评价研究结果显示,栓塞后CSDH复发率相对较低,为3.6%,无明显并发症。
近期,于耀宇主任率团队顺利完成三例脑膜中动脉栓塞手术。其中,年过七旬的男性患者陈某(化名),今年8月下旬因肢体无力摔倒,左眉弓受伤。后患者意识状态逐渐变差,吞咽饮食困难,呼之反应差,无法下床活动,家人遂将其送至上海蓝十字脑科医院。
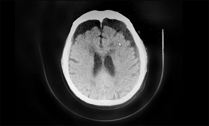
行颅脑CT检查,患者双侧额颞枕顶部可见硬膜下积液血肿,双侧额叶受压明显,不排除积液血肿进一步加重。若不及时手术治疗,病情可能进一步恶化,甚至可能危及生命。

▲ 患者双侧额顶部硬膜下积液血肿明显
于耀宇主任团队根据患者病情和检查结果综合研判,为患者制定了“先堵后疏”的“脑膜中动脉栓塞+钻孔引流”微创复合手术方案。9月4日,于耀宇主任先为患者行“脑血管造影+经导管脑膜中动脉栓塞术”,栓塞脑膜中动脉以阻断慢性硬膜下血肿的血供,减少硬膜下积液产生及血肿生成,促进积液及血肿吸收,降低复发及出血率。

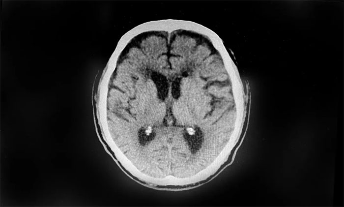
▲ 术后复查,血肿得到明显改善
待病情稳定并评估后,近期,于耀宇主任又为患者开展了双侧“硬脑膜下钻孔引流术”,促使硬膜下积存的大量血肿快速排出,解除脑组织压迫,缓解头晕、肢体乏力等症状。术后,患者健康状况平稳,病情正逐渐好转。
部分内容参考来源:《中国慢性硬膜下血肿药物治疗专家共识》、慢性硬膜下血肿诊治进展(《中国神经精神疾病杂志》,2024,50(1):33-38);科普中国等。
版权声明:部分图片源自摄图网,如有版权纠纷,请及时联系医院。一经查实,将立即删除。
此文章仅作为临床学术研究、学术交流使用!
上一篇:席刚明教授:双侧颈动脉重度狭窄的治疗策略 下一篇:上海蓝十字脑科医院|长时程外引流在神外脑脊液管理应用病例分享一例和思考
2026年5月25日是世界预防中风日。脑卒中防治重在“早发现、早预...【详细】


