脑胶质瘤是常见的颅内恶性肿瘤,往往生长较快,可在短时间内造成颅内压增高和占位效应,引起一系列严重的神经系统症状,甚至可因脑疝危及生命。因此,一旦出现剧烈头痛、肢体偏瘫、嗜睡时,应高度警惕,尽快到专业医院就诊,积极配合治疗。
今年9月中旬,64岁的吴先生突感剧烈头痛,行走不稳。其后,一度发生脑疝危及生命。辗转来到上海蓝十字脑科医院,竟查出鸭蛋大小的脑肿瘤。经神经外科沈建康主任、于耀宇主任团队精心治疗,患者头痛和神经功能损害症状得以解除,重拾生活信心和希望。
12月11日,即将出院的吴先生委托家属钱女士,为医院神经外科6A病区医护人员送上了一封饱含真情的感谢信。

尊敬领导:
我是江西省上饶市玉山县人吴XX,我得了一种重病,头部恶性肿瘤,来到蓝十字脑科医院6A病区。于耀宇主任、沈建康教授亲自上台做手术,管床医生魏金星、孙国华认真治疗,手术效果非常好,病情恢复快,我们一家都很感谢!
在护士长张福英的带领下,全体护士都很精心的护理,对我们很关心,充满耐心和爱心,病人和家属特别满意。我们家病情很重,这次能从鬼门关里抢救回来,现在恢复的跟以前都差不多了。你们救死扶伤的精神让我们发自内心的感到很满意,感谢蓝十字脑科医院有这么好的医生、护士、主任、护士长,让我们住院住的非常顺心,像在家一样。
我在这里,再次真心的向你们说一声:非常感谢!你们辛苦了!还要向领导说一声,有这么好的护士长、这么好的护士做后盾,这么好的医生团队治疗病人,医院一定会越来越好,越来越辉煌!
患者吴XX和家属钱XX
2023.12.11
突发剧烈头痛 一度脑疝危及生命
吴先生今年64岁,今年9月中旬,无明显诱因出现难以忍受的剧烈头痛,并伴有行走不稳表现。在当地医院就诊,头颅CT、MRI检查提示颅内占位病变。为寻求进一步治疗,吴先生来到上海蓝十字脑科医院。
医院神经外科学术副院长兼神经外科6A病区主任于耀宇详细了解患者病史,进一步完善检查。刚入院不久,患者病情即进一步恶化,出现嗜睡、神志模糊、记忆“断片”等神经功能损害加重表现。

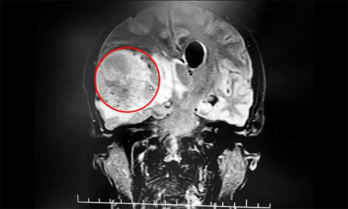
▲ MRI检查,提示鸭蛋大小脑肿瘤
急行头颅MRI检查,提示:右侧额颞叶见团块状不均匀异常信号影,周围见明显水肿信号,增强后呈明显花边样强化,壁薄厚不均,内壁欠光滑,中央区未见强化,病灶大小约5.6*4.4*5.1cm,侧脑室受压及脑干、第三脑室变窄,中线结构向左移位,左侧侧脑室扩大。考虑为高级别脑胶质瘤伴脑疝形成。
患者颅内有一枚鸭蛋大小的脑肿瘤,病情进展迅速,已因颅内压增高出现脑疝。若脑干等重要脑组织持续受压,可在短时间出现功能衰竭,危及患者生命。
专业治疗精心护理暖人心
事不宜迟,神经外科沈建康主任和于耀宇主任团队立即为患者开展病情评估,一致认为应尽快手术切除肿瘤,解除颅高压及对脑重要功能区的压迫。在进一步完善手术方案,并明确告知患者家属风险并获得签字同意后,沈建康主任和于耀宇主任共同为患者开展了肿瘤切除手术。

▲ 沈建康、于耀宇主任为患者手术
术后,吴先生恢复情况良好,头痛迅速得到缓解,无新发神经功能损伤表现。其病理诊断示:胶质母细胞瘤Ⅳ级(WHO),与术前诊断相符。
住院康复期间,吴先生的状态日趋好转。“医生,我什么时候可以出院?”、“肿瘤已经切除了,怎么还要住院做放疗、化疗?”……于耀宇主任和管床医生魏金星时常在查房时关切询问患者病情,并耐心向他讲解后续同步放化疗治疗方案及其重要作用,解答他的各种疑虑。

▲ 护士长主动嘘寒问暖,赢得患者认可
6A病区护士长张福英发现,虽然手术顺利,但吴先生与家属仍有焦虑情绪,甚至时不时想放弃后续治疗。她叮嘱护士在日常护理中,一定要做到温声细语,微笑服务,细心观察患者情绪变化,尽可能满足合理需求。护士长自己每日多次巡房,嘘寒问暖,并联系到患者女儿,一起做好患者心理支持,使其感到莫大的温暖与归属感。
经过两个多月的规范化系统治疗,吴先生病情明显好转,基本回归正常生活,经评估后顺利出院。出院前,他委托家属为6A病区医护人员送上感谢信。笺短情长,感谢信既是对蓝十字医护人员过硬的技术、贴心的服务、高尚的医德的高度认可,更是感谢医护人员帮助他克服对疾病的焦虑恐惧,重拾生活信心和希望。
胶质瘤已手术切除 为何还要同步放化疗
胶质瘤(Glioma),是来源于神经系统胶质细胞和神经元细胞的肿瘤的统称,约占颅内肿瘤的40%-50%,是最常见的原发性颅内肿瘤,也是颅内最常见的恶性肿瘤。
脑胶质瘤具有高致残率、高复发率的特征。根据国家卫健委发布的《脑胶质瘤诊疗规范》,我国脑胶质瘤年发病率为5-8/10万,5年病死率在全身肿瘤中仅次于胰腺癌和肺癌,是一种严重威胁人民群众生命健康的疾病。
于耀宇主任介绍,2021年版WHO中枢神经系统肿瘤分类将脑胶质瘤分为Ⅰ-Ⅳ级,Ⅰ、Ⅱ级为低级别脑胶质瘤,Ⅲ、Ⅳ级为高级别脑胶质瘤。低级别胶质瘤(Ⅰ、Ⅱ级)在得到规范合理的治疗后,一般预后良好,患者可获得较长的生存期;高级别胶质瘤(Ⅲ、Ⅳ级)则恶性程度较高,预后较差。

根据中国抗癌协会脑胶质瘤整合诊治指南,脑胶质瘤的治疗需要开展多学科整合诊治,包括手术切除、同步放化疗、系统性治疗和支持治疗等。在治疗过程中,需要整合考虑患者年龄、基础状态、病情状态和肿瘤综合分型等因素,制定个体化治疗方案。
指南明确,对于高级别脑胶质瘤,手术是基础治疗,放、化疗等是不可或缺的重要辅助治疗手段,高级别胶质瘤接受术后放、化疗可取得较好的生存获益。
临床上,不少脑胶质瘤患者像吴先生一样,经手术切除肿瘤后,认为治疗工作已经“大功告成”,不理解为何要进行同步放化疗。
对此,于耀宇主任进行了形象生动的讲解。原来,当脑肿瘤较小时,未引起颅内压增高,瘤体尚未压迫其周围功能结构或影响脑脊液循环时,可没有明显的临床症状。当肿瘤不断生长,患者感觉不适而去检查。此时,发现脑肿瘤体积已较大。
胶质瘤是恶性肿瘤,生长速度往往较快,一般呈弥漫浸润性生长,周围脑组织多受侵及。除了少数体积小且位于非功能区的低级别胶质瘤外,大多数胶质瘤无法实现细胞层面全部切除。举例来说,胶质瘤就像大树的树根,手术切掉了主根,泥土中的小根须要清除干净却非常困难,这是因为脑部有很多重要的功能区,比如运动及语言等,一旦功能区在手术中受损会带来功能障碍,影响生活质量甚至造成患者死亡。那么,残留的肿瘤细胞就需要通过放疗、化疗等辅助治疗方法来进行抑制或消灭,以此达到改善患者生存质量,来延长生存期的目的。
于耀宇主任再次提醒,脑胶质瘤所导致的症状和体征,主要取决其占位效应以及所影响的脑区功能。患者一般会出现头痛、恶心及呕吐、癫痫、视物模糊、肢体偏瘫等症状。此外,胶质瘤由于恶性程度不同,疾病进展速度也不同,高级别胶质瘤可在短时间内危及患者生命。因此,对于胶质瘤应争取做到早期诊断、及时治疗。同时,胶质瘤患者务必遵医嘱定期检查复查,开展规范化治疗,以防疾病复发和恶化。
版权声明:部分图片源自摄图网,如有版权纠纷,请及时联系医院。一经查实,将立即删除。
此文章仅作为临床学术研究、学术交流使用!
上一篇:基底动脉重度狭窄“命悬一线” 席刚明教授团队勇闯“禁区”为患者打通生命通道 下一篇:坐上“魔椅”转一转,轻松摆脱眩晕——上海蓝十字脑科医院引进眩晕诊疗系统,精准诊断治疗耳石症
2026年5月25日是世界预防中风日。脑卒中防治重在“早发现、早预...【详细】


