神经纤维瘤病 (Neurofibromatosis,NF) 是一种良性的周围及中枢神经系统疾病,属于常染色体显性遗传病。其组织学上起源于周围神经鞘神经内膜的结缔组织。它常累及起源于外胚层的器官,如神经系统、眼和皮肤等,是常见的神经皮肤综合征之一。
根据其临床表现和基因定位位点不同,1988年美国国立卫生研究院 (NIH) 将其分为神经纤维瘤病1型 (Neurofibromatosis type 1,NF1) 和神经纤维瘤病2型 (Neurofibromatosis type 2,NF2)。近年来,又提出了神经纤维瘤病的第三种分型,即多发神经鞘瘤病。
近期,上海蓝十字脑科医院神经外科6B病区神外团队成功为一位神经纤维瘤患者进行了手术,为其解除病痛,转危为安。
面部麻木、疼痛,误诊为脂肪瘤
来自山东,今年47岁的张阿姨4年前无明显诱因发现左侧面部麻木,偶有疼痛感,遂就诊于当地医院,诊断为脂肪瘤,行脂肪瘤切除术,但术后面部麻木未见明显好转。
今年11月中旬,她在洗脸后,自觉左侧面部麻木加重并伴耳鸣,在当地医院行颅脑核磁检查示:左侧中颅窝占位性病变,未能明确,建议转上级医院。后在上海务工的子女将张阿姨转到上海蓝十字脑科医院寻求进一步治疗。

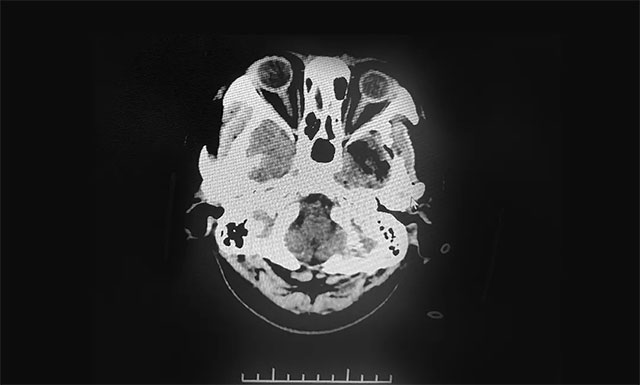
▲ 肿瘤位于左侧颅中窝颞叶内侧底部
头颅MRI平扫+增强显示:左侧颅中窝颞叶内侧底部见一肿块影,矢横高径约3*4*3cm,边缘尚清晰,形态不规则(局部向左侧桥小脑角略凸起),毗邻左侧颞叶、桥脑脑组织受压内移,增强扫描显著明显强化(向左侧桥小脑角凸起灶环状强化)。
结合患者病情和影像学检查,潘仁龙主任、李士其教授、吴治群博士会诊后指出,考虑为神经纤维瘤。正是肿瘤压迫三叉神经导致其面部麻木疼痛,患者手术指征明确,应尽快手术。
肿瘤位置深在、血供丰富,手术极具挑战
该肿瘤位置深在,且血供丰富,并与海绵窦、颈内动脉、大脑中动脉、棘孔处的硬脑膜中动脉以及颈内静脉关系密切,手术稍有不慎,牵拉过度,易造成断裂和撕裂引起难以控制的大出血,手术难度不言而喻。
术前,神经外科团队制定了详实的手术方案。11月30日,在征得家属同意后,6B病区神经外科团队为患者进行了颅底病损切除手术。

▲ 李士其教授正聚精会神为患者手术
蔡司显微镜(双荧光)下,见硬脑膜外有淡黄色肿物,质地较韧,考虑为肿瘤。自肿物中间切开肿物,自内向外逐渐分块切除肿物,边切除边电凝,肿物与周围组织存在粘连,边界欠清,部分肿物靠近桥小脑角、质地较软。李士其教授在吴治群博士、黄秀夫医生及医护团队协助下,凭借精湛的手术技巧和丰富的临床经验对肿瘤进行精细剥离,最终在镜下将肿物顺利切除,留取部分肿物送病理。
术后的病理确诊为(硬膜外)神经纤维瘤。

▲ 术后影像显示肿瘤被切除

▲ 术后病理
本病是常染色体显性疾病,其子女50%可能发病。应注意进行自我监测,如发现肿物短期迅速增大,可能有恶变。当出现严重合并症如颅内肿瘤、胃肠受累引起出血和肠梗阻或腹膜后巨大神经纤维瘤引起内脏受重压时需要手术治疗。
注意神经纤维瘤与脂肪瘤的区别
李世其教授提醒,临床上对于神经纤维瘤在早期的诊断通常会有一定的误差,这主要是由于神经纤维瘤与脂肪瘤等疾病容易混淆导致的,所以在确诊神经纤维瘤的时候一定要知道神经纤维瘤和其他疾病的区别。
脂肪瘤是一种良性肿瘤,多发生于皮下。瘤周有一层薄的结缔组织包囊,内有被结缔组织束分成叶状成群的正常脂肪细胞。有的脂肪瘤在结构上除大量脂肪组织外,还含有较多结缔组织或血管,即形成复杂的脂肪瘤。脂肪瘤由成熟的脂肪组织所构成,在小儿较纤维瘤多见,凡体内有脂肪存在的部位均可发生。
脂肪瘤有一层薄的纤维内膜,内有很多纤维索,纵横形成很多间隔,最常见于颈、肩、背、臀和乳房及肢体的皮下组织,面部、头皮、阴囊和阴唇,其次为腹膜后及胃肠壁等处;极少数可出现于原来无脂肪组织的部位。如果肿瘤中纤维组织所占比例较多,则称纤维脂肪瘤。
而多发性神经纤维瘤是一种常染色体显性遗传病,一般采取手术治疗。
此文章仅作为临床学术研究、学术交流使用!
上一篇:医学前沿 | 张琪博士团队顺利完成经动脉入路栓塞天幕区硬脑膜动静脉瘘手术 下一篇:五旬女子罕见巨大脑膜瘤危及生命,家属永不言弃,沈建康教授团队七小时手术“妙手回春”
2026年5月25日是世界预防中风日。脑卒中防治重在“早发现、早预...【详细】


