说起肿瘤,尤其是生长在脑部的肿瘤,人们往往闻之色变。有一种脑部“肿瘤”,大家对其知之甚少,但其发病率却不低——这就是颅内海绵状血管瘤。其实,海绵状血管瘤属血管畸形,并非肿瘤。
浙江的王阿姨因为海绵状血管瘤频繁癫痫发作,饱受折磨,在经过伽马刀、药物等治疗无果后,辗转求医上海蓝十字脑科医院。最终经功能神经外科特需专家杨忠旭教授手术治疗,成功切除“肿瘤”,转危为安,解除病痛。
海绵状血管瘤致反复癫痫发作
年过五旬的王阿姨于2022年8月份,在家中突发头晕,头晕发作时伴有恶心,“就感觉像中暑一样!”,并且全身乏力,无呕吐,无言语含糊等。在当地医院检查,发现海绵状血管瘤。之后,王阿姨辗转求医,接受了DSA检查,伽马刀治疗,好转后出院。家人都以为王阿姨已经康复,但不曾想一年后,2023年9月份,王阿姨在与家人发生口角时再次突发头晕,并且伴有四肢抽搐,头晕发作时伴有恶心、呕吐,休息2-3分钟后可缓解。再次求医,接受药物对症治疗。自此开始,王阿姨频繁出现上述症状。后慕名求医上海蓝十字脑科医院功能神经外科杨忠旭教授。
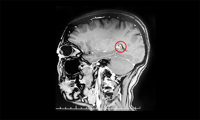
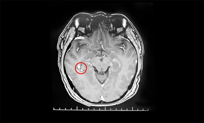
入院后,行海马MRI平扫+MRS+MRSI检查,MRS提示右侧海马Cho峰升高;扫及右侧颞叶深部(侧脑室颞角外下部)见一直径约15mm类圆形异常信号;右侧侧脑室颞角稍宽。患者既往高血压病史4年,曾因右侧颞部海绵状血管瘤致蛛网膜下腔出血2次。杨忠旭教授结合患者症状,病史,磁共振、脑电图等系列检查,考虑海绵状血管瘤及周围皮层为致癫灶。患者已经明确有反复出血史,手术指征明显,需行手术切除治疗,预防再次出血引起神经功能及癫痫等症状。

▲ 海绵状血管瘤
海绵状血管瘤属血管畸形 并非肿瘤
杨忠旭教授介绍,海绵状血管瘤是指由众多薄壁血管组成的海绵状异常血管团,形似桑葚,由于血管造影检查时常无异常血管团的发现,故将其归类于隐匿型血管畸形。实际海绵状血管瘤并非真性肿瘤,而是属于脑血管畸形。之所以名字中带“瘤”,仅因为其形态像瘤而已。同样,“海绵状”也是依据其形态命名,因其“剖面呈海绵状或蜂窝状”。
随着医学影像学的发展,有关该病的报告也日渐增多。在人群中的发生率估计为0.5%~0.7%,占所有脑血管畸形的8%~15%。因部分患者无症状,故确诊病例人群发生率仍无法确知。海绵状血管瘤好发于30~40岁,无明显性别差异。
颅内海绵状血管瘤可发生在中枢神经系统的任何部位,如脑皮层、基底节和脑干等部位(脑内病灶),以及中颅窝底、视网膜和头盖骨等部位(脑外病灶)。
而且,约 19% 的病例为多发病灶,多发海绵状血管瘤的病人常合并有身体其他脏器的血管瘤病灶。
颅内海绵状血管瘤主要临床表现依次为癫痫(35.8%)、颅内出血(25.4%)、神经功能障碍(20.2%)和头痛(6.4%)。无临床症状者占12.1%,有的患者有一种以上的临床表现。如病变发生出血,则引起相应临床症状。有的海绵状血管瘤逐渐增大,产生占位效应而导致神经功能障碍逐渐加重。临床病程变异较大,可以有急性或慢性神经功能障碍,可出现缓解期或进行性加重。

▲ 海绵状血管瘤的风险除了出血外,还有一个棘手的问题——癫痫发作
精准定位下 杨忠旭教授团队成功切除癫痫病灶
杨忠旭教授表示,此次手术,不但要切除海绵状状血管瘤,还需要切除与癫痫放电传播有关的区域及继发性致痫区域。合并癫痫的海绵状血管瘤,除切除血管瘤病变本身外,应尽可能一并吸除周围的含铁血黄素沉积带,并将癫痫放电皮层给予处理,这样方能获得更好的预后。
由于“血管瘤”位于右侧颞叶深部,极为接近脑干,稍有损伤后可导致患者出现严重神经功能障碍,手术存在较大风险和难度。杨忠旭教授团队经过认真地术前讨论,决定行神经电生理、皮层电刺激定位技术辅助下的癫痫灶切除术。
术中电生理监测、皮层电刺激定位技术共同协助下就等于为手术中病灶准确切除加上“双保险”。术中电生理监测技术可以监测手术中处于危险状态的神经系统功能的完整性,在最大程度保全功能的情况下更准确的切除病灶。皮层电刺激定位技术通过联合头皮电极所记录的脑电信号,可以在术中精准定位切除脑组织病变范围。

▲ 杨忠旭教授在为患者手术
在征得家属同意后,1月20日上午,杨忠旭教授团队顺利为患者进行了手术。术中,杨忠旭教授严格沿瘤脑边界分离肿瘤,最终利用娴熟的解剖和显微技术将“血管瘤”在内的异常放电区域顺利切除。术后,王阿姨肢体活动正常,无新发神经功能缺损。头晕、呕吐、四肢抽搐等症状消失,目前已经康复出院。
杨忠旭教授提醒,由于海绵状血管瘤的血管结构不同于正常血管,没有内皮组织,非常脆弱,容易破裂出血。但其发病又比较隐匿,早期往往没有症状,多在成年后发病。有家族史的人群要提高警惕,进行必要的筛查。
手术切除病变是治疗海绵状血管瘤的根本治疗方法。病灶反复小量出血、癫痫和重要功能区的占位效应,是海绵状血管瘤手术适应证的主要考虑因素。对于很小的病灶,也无症状的病例可以随访观察。对于一部分病例病灶部位不宜进行切除、无法耐受切除性手术的可以采用伽玛刀治疗。
版权声明:部分图片源自摄图网,如有版权纠纷,请及时联系医院。一经查实,将立即删除。
此文章仅作为临床学术研究、学术交流使用!
上一篇:4旬男子头痛抽搐确诊静脉窦血栓 席刚明教授团队介入取栓及时打通生命线 下一篇:女子走路摔倒意外发现多发夹层动脉瘤 席刚明教授团队成功应用血流导向装置化险为夷
2026年5月25日是世界预防中风日。脑卒中防治重在“早发现、早预...【详细】


