近日,一位上海兵团知青在新疆突发脑梗(颈动脉闭塞),情况危急,最终经飞机辗转,跨越万里,从中国西北边境奔赴上海蓝十字脑科医院求医。上海蓝十字脑科医院学术副院长、神经内科4A病区主任席刚明教授带领医护团队全力以赴,顺利行介入治疗,成功开通闭塞大血管,及时化险为夷。

▲ 席刚明教授团队在为患者手术
兵团老知青突发脑梗昏迷
据《央视新闻》报道,从上世纪五十年代开始,无数热血青年陆续从全国各地奔赴新疆,担负起屯垦戍边的使命。从1961到1966年间,12.7万知青陆续从全国各地奔赴新疆,支援国家建设。这其中,仅上海知青,就有9.6万人。
今年已年过七旬的上海人王老先生就是其中一员。1964年,刚初中毕业年仅15岁的王老先生就响应国家号召,怀着满腔热血踏上奔赴新疆的火车,来到新疆生产建设兵团某师,一直工作到退休,才返回上海定居。由于外孙落户在兵团,目前在当地读高中,正是学业紧张时刻,因此王老先生便开始了新疆、上海两地跑的生活。
今年3月5日下午,王老先生在新疆陪伴外孙时突发脑梗。王老先生介绍,当时他和外孙准备下楼,突然两眼发黑,猛地摔倒在地;头昏明显,感觉心慌,出汗;挣扎着站起来后行走不稳,再次摔倒,陷入昏迷,呼之不应。外孙见状,急忙呼救,邻居闻讯后急忙打120送至当地医院。CT检查,提示延髓小斑片稍高密度影,左侧额页斑片稍高密度影,当地医院考虑颅内多发缺血性病变。经过治疗,王老先生虽然苏醒过来,但是相关症状未明显改善,头昏、行走不稳依旧,精神差,进食差,并且出现头向右侧转动时,出现头晕,左侧颈部僵硬感。“上海医疗水平高,快回上海治疗,不要耽误!”由于当地医院条件有限,来自辽宁的援助专家建议及时返回上海救治。

▲ 突发脑梗,万里奔赴求医蓝十字
颈动脉闭塞十分凶险
听了专家的话,王老先生立马想起在上海的老朋友——上海蓝十字脑科医院学术副院长、神经内科4A病区主任席刚明教授,遂立即联系席教授,并在女儿陪伴下赶飞机回上海。此时,一段往事浮现在王老先生脑海,令他懊悔不已。原来,王老先生和席教授是老相识了,十年前王老先生在找席教授看病时就被告知自己颈动脉狭窄,当时席教授就建议他做介入治疗,但是王老先生一直害怕介入手术,遂一推再推,不想造成如今严重后果。
席刚明教授介绍,颈动脉是一个血液流向大脑的通道,对大脑正常功能的维护有着重要意义。因各种原因造成该通道内部管径变小时,就被称作颈动脉狭窄。在引发卒中的危险因素中,颈动脉狭窄最不容忽视。临床统计显示,60%以上的缺血性卒中由颈动脉狭窄造成,可导致患者残疾甚至死亡。因此,中老年人必须护好颈动脉。
根据颈动脉狭窄程度,可分为四级。狭窄率在50%以下为轻度狭窄,50%~70%为中度狭窄,70%以上为重度狭窄,狭窄率达到100%则是颈动脉闭塞,这种情况非常危险,随时可能引发急性脑梗,严重者可能致残甚至致命。

▲ 颈动脉闭塞,非常危险,随时可能引发急性脑梗
仔细分析评估,制定手术方案
既往病史显示,王老先生有高血压、糖尿病20余年。有冠心病史,血管硬化狭窄病史等。患者入院后,颈部血管彩超提示,左侧颈内动脉闭塞,双侧颈动脉多发斑块形成(左侧颈外动脉重度狭窄)。头颅磁共振检查提示,双侧大脑半球多发腔梗及缺血灶,右侧枕叶及左侧顶叶皮层下新鲜灶;左侧基底节区脑血管病变后遗灶;MRA显示,脑动脉硬化,左侧颈内动脉闭塞,左侧大脑中动脉主干偏细,颅底动脉多发不同程度狭窄。头颈部CTA显示,左侧颈内动脉闭塞,多处血管狭窄。经过系列检查,诊断考虑为“症状性左侧颈内动脉慢性闭塞”。
神经内科4A病区主任席刚明教授、神经内科4A病区副主任王贵平博士经过会诊认为,患者双侧大脑半球多发梗死系左侧颈内动脉闭塞所致。颈内动脉是脑血管的主干道,若放任颈内动脉闭塞不管,意味着王老先生今后再次中风的风险较高。考虑患者有急性梗死,血管再通治疗容易出现过度灌注综合征引起脑出血,建议3周后等患者病情稳定后再行闭塞再通治疗。

▲ CTA显示,左侧颈内动脉闭塞
迎难而上,打通大脑“生命线”
慢性颈内动脉闭塞血管再通属于非常规手术,手术难度大、术中发生不可预知情况多、手术风险高,对手术医生的技术水平要求极高,存在着如术中栓子脱落、再灌注出血、医源性夹层、开通失败、术后再闭塞等手术风险。
经过仔细、严谨的评估,并征得了患者及其家属同意后,近日,席刚明教授、王贵平博士在医护团队协助下为患者进行了左颈内动脉闭塞开通术+脑保护伞下颈内动脉支架置入术+球囊扩张术+脑血管造影术。
脑血管造影显示,左颈总动脉起始段、下段中度狭窄,左颈外动脉起始段重度狭窄,左颈内动脉起始段闭塞,远端颈内动脉缓慢显影至眼动脉;左椎动脉、左大脑后动脉、基底动脉显影,左椎V4段经侧枝向左侧枕动脉代偿供血至左颈外动脉;右颈内动脉起始段轻度狭窄。
术中,超滑导丝、多功能导管经过反复尝试顺利通过左颈内动脉起始段,到达左颈内动脉远端显影段,路图见远端血管通畅,左大脑中动脉显影;随后,微导丝经多功能导管置于左颈内动脉海绵窦段,经微导丝送入保护伞至左颈内动脉岩骨垂直段并释放,再沿保护伞微导丝送入4x30mm球囊于左颈内动脉起始段,给予球囊扩张,撤除球囊后造影见左颈内动脉起始段再通,左颈内动脉、左大脑中动脉显影;最后,送入9x50mm支架,释放于左颈内动脉颈段至左颈总动脉末段,造影见左颈内动脉起始段显影明显改善,左颈内动脉、左大脑中动脉、左大脑前动脉显影可,行3D造影见左颈内动脉颈段显影改善。行支架CT见支架成形可,行XperCT未见颅内出血。

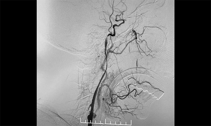
▲ DSA确诊左侧颈内动脉闭塞

▲ 左侧颈内动脉闭塞顺利开通
手术圆满完成,席刚明教授团队、麻醉科团队及导管室团队通力合作,耐心、仔细地克服了手术的所有难点。左颈内动脉从“无”到“有”,正所谓“精诚所至,金石为开”,顺利为患者解除危机。
术后,王老先生无新发神经功能缺损。头晕、行走不稳、颈部僵硬感消失,肢体活动自如,说话流利,对答如流。目前,正在进一步康复中。
版权声明:部分图片源自摄图网,如有版权纠纷,请及时联系医院。一经查实,将立即删除。
上一篇:七旬患者颈内动脉重度狭窄合并动脉瘤 席刚明教授团队介入治疗解除危机 下一篇:频繁意识丧失竟是颅内藏“鸭蛋” 显微外科手术助六旬女患者顺利康复
2026年5月25日是世界预防中风日。脑卒中防治重在“早发现、早预...【详细】


