走路,对于正常人来说是再寻常不过的一件事,然而对于黔女士(化名)来说,两年多来,走路却是一种奢望。黔女士自两年前罹患脑梗偏瘫后就只能以轮椅代步,今天她终于能独自迈开步伐行走起来,对此,她激动得说不出话来......
为表示感谢,近日,她专门定制了三面锦旗送到上海蓝十字脑科医院神经内科 4B 科室,对医护团队表达了真诚谢意。

▲ 黔女士送来三面锦旗
两年多前突发脑梗 她跑了十多家医院
今年43岁的黔女士是来自贵阳的一名公务员,家庭幸福美满,有个可爱的女儿,然而从2019年2月她突发脑梗,一切都被改变了。她也开始了漫漫求医路。
那天,她在情绪激动后突然感到头晕、头痛、眩晕,出现失语、右侧肢体乏力、站立不稳等症状,被送到当地医院就诊,竟然被诊断为脑梗。随后,经过一系列治疗后无明显改善,并且病情加重。之后转到市医院治疗,上了心电监护,插上了胃管,经过治疗病情终于稳定。但是出院后还是站不起来,头晕,不能睁眼,只能躺在床上,饮食都无法自理,要家人喂食。“那时我真的觉得痛不欲生!”回想起当时的情形,黔女士颇为感慨。
为了早点让妻子站起来,黔女士丈夫每天背着她到县医院针灸治疗,但是效果不明显。无奈一家人又到省级医院求医,最终辗转多家医院,才终于查出黔女士患有动脉夹层。
但是,由于当地医院条件受限,该院医生直接告诉她,“在我们这里做手术,只有20%成功的把握。这里手术后,要么下不了手术台,要么会成为‘植物人’!手术难度太大,太危险,我们不敢做,动脉瘤随时都会破裂,你随时都可能会没命的,你回去多陪陪孩子算了!”听到这样的话,黔女士一时间觉得天旋地转,一想到恩爱的老公,还有可爱的女儿还在上高中,这个时候自己怎么能出事呢?坚毅的黔女士坚持要做手术。
“当时,我甚至和老公说,做了手术,好就好,不好成植物人了,你们就甭管我了,让我自生自灭吧!”黔女士坚定地说。
“这样太残忍了!我于心何忍啊?!我该怎么办啊?”丈夫的回答让黔女士一时间又陷入两难境地。
经过几番争论,最终,黔女士还是决定做手术!2020年初,在当地医院推荐下,他们来到上海求医。
在上海某医院,黔女士被诊断为右侧椎动脉V4段夹层动脉瘤。当时,该院医生告诉她,手术后可能头晕有所好转,但是手脚麻木、脚痛等症状可能改善不明显,可能不会消失,要做好思想准备。抱着一线希望,她接受了DSA介入手术,置入了3枚支架。但遗憾的是,术后,黔女士的症状并无明显改观,头晕,走路还是不稳总是向右偏,脚痛症状越来越严重,一碰就疼,看东西像在云里雾里一般,非常模糊。
之后,在该医院复查时,该院医生推荐她不妨去上海蓝十字脑科医院。今年4月,黔女士抱着最后一丝希望转入到上海蓝十字脑科医院寻求进一步治疗。

▲ 两年来,正常行走对黔女士来说是一种奢望
脑干梗死是怎么回事?
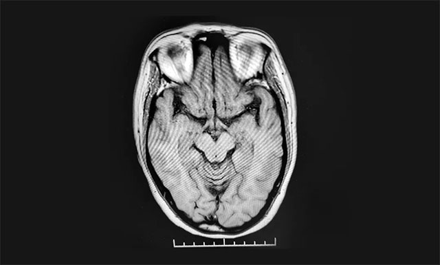
病史资料显示,黔女士近1个月来反复出现头晕、头痛,视物旋转,右侧颜面部痛觉减低,右侧上肢持续性麻木、胀痛、抓握不能,右下肢乏力、行走不稳,左侧肢体感觉异常,并逐渐加重。入院后MR检查显示双侧额叶皮层下微缺血灶。结合病史和影像资料等,黔女士被诊断为脑梗死(脑干梗死),瓦伦贝格综合征。
神经内科4B病区主任孙晓江教授指出,脑干梗死占脑梗死的9.0% ~ 21.9%,不同病因的脑干病变引起其内部的多个神经结构受损,出现具有特异性临床表现的脑干综合征,具有复杂性和多样性。临床上以交叉性感觉障碍及交叉瘫等为特征的典型脑干综合征并不常见,通常发生在延髓及中脑,经典脑干综合征中 Wallenberg(瓦伦贝格)综合征较为独特。主要病因有大动脉粥样硬化、心源性栓塞、动脉夹层等。

▲ 患者脑干梗死
4B病区汪恒华主任医师强调,颅外椎动脉夹层是青年脑卒中的重要原因之一,占25%~30%。椎动脉夹层的病因多与动脉粥样硬化、颈部外伤或按摩、肌纤维发育不良、感染、偏头痛、高血压病、高同型半胱氨酸血症等有关。尤其是动脉粥样硬化,动脉粥样硬化斑块破溃形成内膜瓣斑块下出血形成管壁撕裂及壁间血肿在夹层形成中起着关键作用。其病理改变为动脉内膜下夹层撕裂膨胀使管腔狭窄或闭塞,导致血流量减少及内皮损伤导致血栓形成;而动脉外膜下夹层撕裂后形成假性动脉瘤。发病机制可能为巨大的夹层动脉瘤占位效应压迫脑干或夹层的不断扩大,引起椎-基底动脉重要分支闭塞致缺血性改变,以及夹层动脉瘤破裂引起出血性改变。最常见的症状为头晕或眩晕,后颈部或头部疼痛;也可能是无痛的,发病前通常无明确的创伤史。体征伴有部 Horner 综合征及受累动脉的缺血性脑卒中,有15%~86%伴有眼部表现,其中最常见症状为复视,视物模糊或视野缺损。
针对患者具体病情,孙晓江主任申请了院级会诊。根据会诊结果,在孙晓江主任指导下,汪恒华主任医师为患者制定了完善周密的治疗方案。对于患者脑梗,一方面予以抗血小板抗凝、营养神经、改善微循环等对症积极的药物治疗,另外邀请康复科、中医科专家对其进行会诊,及时对其进行肢体康复训练,并进行针灸、推拿等治疗,促进其肢体功能的恢复。

经过近3个月的治疗,奇迹出现了。
“妈妈!你可以自己走路了!”暑假期间,读大学的黔女士女儿来医院陪她。7月17日,大学生女儿搀扶她出去散心,在到对面银行门口时,黔女士不经意间自己脱离拐杖走了几十米,这让她和女儿一时间都欣喜万分。当看到黔女士在医院走廊再次独自行走时,汪恒华医生也感到很意外,黔女士的康复情况超出他的预想,也让他很欣慰。

▲ 黔女士终于可以自己行走了
温馨护理 给她留下深刻印象
“她们总是面带微笑,嘘寒问暖,给人亲切感,像家人一样。”除了治疗,由4B病区杨娇护士长带领的护理团队的温馨服务也给黔女士留下深刻印象。
“阿姨,你慢点走路哦,我看你扭扭歪歪的我怕,来,我扶着你!”黔女士说,不管她有什么需求,护士宋娟娟总是笑眯眯地给她解决,如查看用药情况等。有一次她想换床被子,还没等她说,宋娟娟就及时将准备好的被子送到了。“阿姨,不要说能不能,你说的我们就一定给你办到!”黔女士说,当时就被她这种军人般斩钉截铁的回答感动了。“其实,有时候我也在有意考验她们,看看她们是不是真的能做到,但是别看她们小小年纪但工作确实做的到位。”黔女士坦言。
黔女士今年才40出头的年纪,但是因为患病卧床两年多,心中难免烦闷,有时候对未来感到渺茫困苦,刚来的那段时间她每天愁眉苦脸,护士王焕、何善丽见状总是过来宽慰她,陪她聊天解闷,鼓励她积极治疗,一定会康复的,积极拥抱人生。杨娇护士长也每天抽空看望鼓励她坚持治疗。“我能认你做妹妹吗?”“好啊!”期间黔女士开玩笑问到,杨娇护士长欣然应允,两人加了微信。黔女士表示,正是这群可爱的孩子们让她在异乡倍感亲切,有了家的感觉,更加坚定了她面对疾病的信心!

此外,由于黔女士没有请护工,同病房要照顾五位患者的护工韩美荣见状,总是顺手帮一把,在她上卫生间、洗澡时总是主动帮忙,这种“古道热肠”让她非常感动。“出门在外都不容易,举手之劳罢了!”来自河南驻马店的韩美荣这样回答。
脑科医院针对的多为危重、疑难病患者,护理工作强度较大,护理人员经常超负荷工作。但她们始终秉承“以患者为中心”的服务理念,发扬南丁格尔精神,并赋予其新的内涵,如春天的雨露滋润着患者的心田,如夏天清爽的微风带走患者心灵的恐惧,将优质护理服务贯穿、渗透到日常工作的点点滴滴之中。
此文章仅作为临床学术研究、学术交流使用!
上一篇:五旬男子眼睛失明 原来是脑动静脉畸形导致 下一篇:女子左耳失聪十八年,今能恢复听力吗?
2026年5月25日是世界预防中风日。脑卒中防治重在“早发现、早预...【详细】


