在人体中,脑动脉由成对的颈内动脉和椎动脉互相衔接成动脉循环。颈内动脉和椎动脉就像“主干道”,将血液源源不断地输送到大脑,其重要性不言而喻。随着年龄的增长加上高血压、高血脂、糖尿病、吸烟等多种因素的影响,颈内动脉和椎动脉管腔逐渐变得狭窄,如同水管出现瘀堵,水流就会变小,从而导致大脑血供不足,进而引起脑部缺血、缺氧甚至梗塞。
上海蓝十字脑科医院【同济大学附属上海蓝十字脑科医院(筹)】神经外科学术副院长兼6A神经外一科主任于耀宇主任介绍,大多数的颈内动脉和椎动脉狭窄,与动脉粥样硬化脱不了干系。
动脉粥样硬化病变引起的颈内动脉狭窄主要累及颈内动脉起始部、颈内外动脉分叉处。椎动脉狭窄则好发于椎动脉的V1段以及V4段。在粥样斑块的基础上,可以产生附壁血栓和微栓子脱落;斑块内出血、纤维化和钙化引起狭窄进行性加重;血管壁溃疡、夹层及动脉瘤形成产生局部血流动力学改变等病理变化。

▲ 动脉粥样硬化是引起颈动脉狭窄常见原因
症状性的颈内动脉狭窄和椎动脉狭窄根据严重程度,可引起以下主要症状:
a.脑部缺血症状:包括耳鸣、眩晕、黑朦、视物模糊、头昏、头痛、失眠、记忆力减退、嗜睡、多梦等。
b.短暂性脑缺血发作(TIA):局部的神经功能一过性丧失(临床表现为一侧肢体感觉或运动功能短暂障碍),一过性单眼失明或失语等。影像学检查无局灶性病变。
c.缺血性脑卒中:通常表现为一侧肢体感觉障碍、偏瘫、失语等脑组织损伤的症状,严重者甚至出现昏迷,危及患者生命。
年逾七旬的患者曹老伯(化名)今年3月无明显诱因出现右侧肢体无力、持物不稳、口角左偏,来到上海蓝十字脑科医院就医。于耀宇主任详细了解既往病史并完善检查。

▲ 于耀宇主任为患者做DSA检查
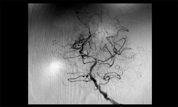
颈内动脉狭窄可分为轻度(<50%),中度(50%~69%)和重度(70%~99%),椎动脉狭窄的判别标准与之相仿。DSA检查示:患者双侧颈内动脉及左侧椎动脉存在重度狭窄,狭窄程度达到甚至超过90%,病情十分严重,遂立即收治入院。



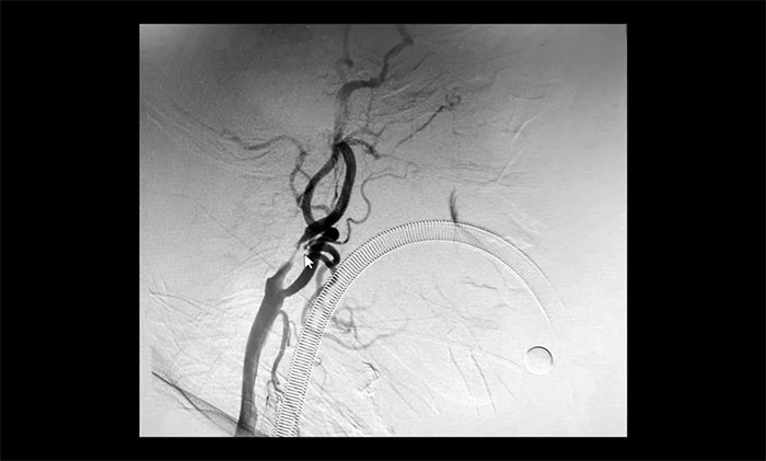
▲ 双侧颈内动脉及左侧椎动脉重度狭窄
于耀宇主任表示,临床上轻中度且无症状的颈内动脉狭窄,推荐药物为主的治疗方式;中度狭窄且有明显症状、重度狭窄,以及检查发现为不稳定斑块者,则需尽快予以手术治疗。而症状性椎动脉重度狭窄的主要临床治疗方式为支架置入手术。
患者有长期高血压和脑梗病史,双侧颈内动脉、左侧椎动脉重度狭窄,且出现右侧肢体乏力症状,手术指征明确,未发现明显手术禁忌症。
于耀宇主任表示,根据该患者双侧颈动脉狭窄的病情特点,为避免手术后引起高灌注损伤等严重并发症,考虑采取分期进行颈动脉支架置入(CAS)手术方式,优先处理责任侧。于主任进一步解释道,脑高灌注综合征(CHS)是指颅内动脉狭窄被解除后没有发生脑缺血的患者,原低灌注区血流灌注值显著增加,超过脑血管自动调节能力而引起的一种严重并发症。临床一般表现为意识障碍、头痛、神经功能缺损、癫痫、颅内出血、精神症状、共济失调等。
于耀宇主任团队针对患者病情开展审慎严谨的术前评估后一致认为,采取分期手术方式,先进行左侧颈动脉支架置入手术,待病情稳定后,再行右侧颈动脉支架置入及左侧椎动脉支架置入手术,降低手术并发症风险,从根本上解除患者因颈内动脉和椎动脉重度狭窄引起的脑缺血症状,预防缺血性脑卒中的发生和复发。
在明确告知分期手术方案,并取得患者家属同意后,5月21日,于耀宇主任和团队医生在全麻下为曹老伯先行脑血管造影术+左侧颈内动脉支架经皮置入术,术后给予预防感染、护胃、补液等对症治疗。

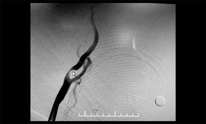
▲ 术后,左侧颈内动脉狭窄明显改善
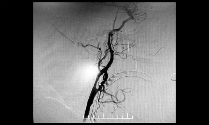
术后康复观察一月余,于耀宇主任团队再次为曹老伯行右侧颈动脉支架置入及左侧椎动脉支架置入手术。术中造影显示,右侧颈内动脉起始段重度狭窄,狭窄长度8mm左右。左侧椎动脉 V4 段重度狭窄,长度6mm左右。运用娴熟扎实的技术,在充分做好脑保护的前提下经过多次球囊扩张后,顺利释放支架于狭窄处。造影提示支架打开良好,血管狭窄基本恢复正常,支架贴壁佳,支架内血流通畅,远端血流良好。

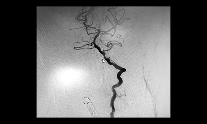
▲ 术后,右侧颈内动脉及左侧椎动脉狭窄明显改善
术后监测,患者血压心率基本平稳,意识清楚,GCS15分。住院康复治疗期间,曹老伯单侧肢体乏力等症状明显改善,基本实现生活自理。
查房时,他有力地握住于耀宇主任的手,对于主任和6A神经外一科团队悉心专业的治疗表示感谢。7月上旬,曹老伯顺利康复出院。
于耀宇主任提醒,对颈内动脉狭窄、椎动脉狭窄务必要高度重视,正确认识其与脑梗的密切关系。即便暂时没有症状表现,也万不可掉以轻心。对有症状的颈内动脉狭窄、椎动脉狭窄者,即使症状再轻微,也建议及早到专业医院进行相关检查和治疗,以防脑梗发作。
版权声明:部分图片源自摄图网,如有版权纠纷,请及时联系医院。一经查实,将立即删除。
此文章仅作为临床学术研究、学术交流使用!
上一篇:女子长期四肢无力麻木,原来是患了罕见病——POEMS综合征! 下一篇:反复头痛头晕,警惕脑肿瘤!
2026年5月25日是世界预防中风日。脑卒中防治重在“早发现、早预...【详细】


