“手术很成功,你可以放心了!” 当李士其教授走出手术室,告知患者家属这一好消息时,家属紧紧握住了他的手,难以抑制心中的激动和对整个医护团队的感激。
11月5日的这台巨大脑胶质瘤手术,神经外科李士其教授团队在神经电生理监测下,经过5个多小时的奋战,最终成功为患者切除了“鹅蛋大”的瘤体,守护了大脑健康,捍卫了生命安全。
手抖、头晕竟是因为巨大肿瘤

▲ 占位病变引起头疼、恶心、呕吐等高颅压症状
王女士是江苏徐州人,42岁,有十多年癫痫史。平时的她主要在家照顾一双儿女,爱人则在外打拼。日子虽过得平淡,倒也安详。
令人没想到的是,今年6月,王女士突然出现右手抖动、头晕等症状,休养了几天也没有改善。无奈之下,只能到当地医院就诊。检查后医生认为是脑供血不足、颈椎病等所引发的毛病,就给她简单开了点药。
按时服药的王女士,不仅病情没有明显好转,反而出现了手麻木的症状。考虑到癫痫病史,家人怀疑到了抗癫痫药上,会不会跟不规律服药有关。带着这个疑问,他们再次去到当地医院,进行了抗癫痫药物治疗。
奇怪的是,治疗后王女士的情况不仅没好转,还反复头痛难耐,只能又回医院输液。结果,一输完液她就开始呕吐,头痛也没有得到缓解。
折腾来折腾去,一眨眼就到了9月底。王女士最终因为难以忍受的剧烈头痛,被紧急送往当地市医院急诊。CT、磁共振扫描显示,脑部有少许出血,左额顶叶占位性病变。考虑为血管畸形伴出血可能,少突胶质瘤不除外。
住院后,医生进行补液、降颅内压、抗癫痫等一系列治疗的同时,还为王女士做了脑血管造影,没有发现明显异常。市医院的专家会诊后一致建议手术,只是瘤体巨大且长在功能区上,难度大、风险高。一旦失败,很可能导致半身瘫痪、失语的结果。更且这种高难手术,当地医院的设施设备难以维系。因此,只能建议王女士前往北上广的大医院,以寻求进一步治疗的可能。
至暗时刻 再次点亮生命的希望

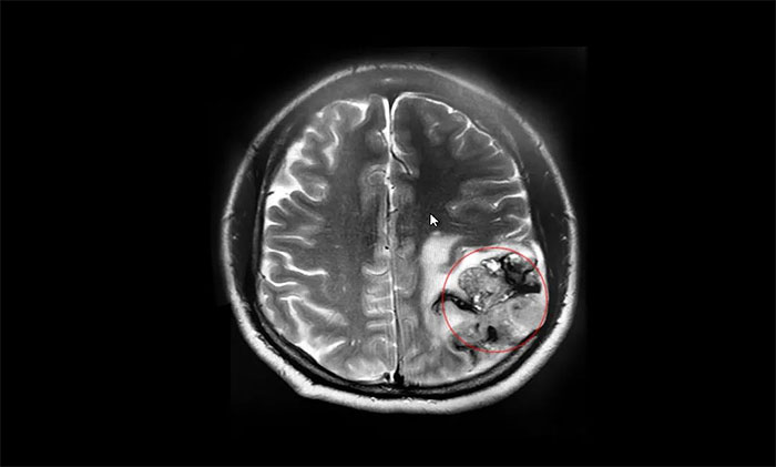
▲ MRI显示肿瘤最大直径超7厘米大小
看着饱受病魔摧残的妻子,爱人张先生忧心如焚。在妻弟的陪同下,带着王女士就风风火火地直奔上海的一家三甲医院。在该院会诊后,考虑为海绵状血管瘤。
“一般小的海绵状血管瘤可以做伽马刀,或者介入治疗,但是这个海绵状血管瘤体积巨大并长在功能区,风险太大,现在出血量较小,应该不会再长!”专家们建议回家观察,保守治疗。
这一席话,让满怀希望而来的张先生,彻底陷入了绝望。“上海是全国医疗水平高地,看来是真没有办法了!”被掐灭了最后一丝希望的张先生,沮丧地带着妻子回到了家乡。
接下来的日子,让张先生如同身陷痛苦的泥沼。每天下午五六点,王女士就开始呕吐,剧烈的头痛头晕,让她直捶脑袋,甚至无数次地想要撞墙。“我怕下一秒我老婆就没了!”张先生说。
当生活陷入至暗时刻,连人生都失去颜色的时候。一位特意赶来的亲戚,为张先生一家点亮了希望的灯火。多年前,他也因肿瘤多方求医,最后是上海蓝十字脑科医院特需专家李士其教授亲自为他做的手术。康复至今,与李士其教授仍一直保有联系。
因着这一线生机,张先生再次带着妻子来到上海,转入上海蓝十字脑科医院。入院检查时,头颅MRI平扫+增强提示:左侧额顶叶占位性病变,最大径约4.2×7.4×4.3cm,如鹅蛋般大小。
对照患者病史和影像学检查报告,李士其教授、黎军主任、潘仁龙主任会诊后一致认为胶质瘤可能性大,且已严重威胁患者生命,应尽快进行手术治疗,明确病理诊断。
以手术为主的综合治疗 延长胶质瘤患者生存期
胶质瘤是颅内最常见的恶性肿瘤,发病率占颅内原发性肿瘤的50%,居第1位。多见于成人,好发部位以额叶、颞叶、顶叶居多。胶质瘤患者男性发病率高于女性,发病年龄以成人多见,30-40岁为发病高峰年龄。不同病理类型的胶质瘤各有其高发年龄,室管膜瘤的高发年龄在10岁以前,星形细胞瘤多见于中年人,老年人以胶质母细胞瘤多见。
胶质瘤的临床症状主要分为:
1、由肿瘤占位引起的高颅压症状,即由于颅内压增高,引起患者头疼、恶心、呕吐、眼底水肿等症状。其中,呕吐并不同于普通的吃东西导致的恶心、呕吐,而是一种喷射性呕吐。
2、肿瘤侵犯不同的功能区,导致不同的功能障碍。发生在额叶的胶质瘤会表现为精神行为的改变,尤其是老年人的额叶胶质瘤,会出现反应迟钝、精神行为异常,甚至随地大小便等;颞叶主管人体的语言和听觉中枢,如果胶质瘤发生在此处,就可能出现感音性失语,就是别人说话,患者听不懂,答非所问;发生在枕叶的胶质瘤会导致患者出现视野缺损;还有一种胶质瘤发生在大脑运动功能区,如大脑中央前回和中央后回,患者会出现感觉障碍或者运动障碍,也就是偏瘫或半身麻木等。
3、绝大部分脑胶质瘤的患者都以癫痫发作为主要表现,肿瘤发生的位置不同,癫痫发作的部位也不一样。
胶质瘤的检查:应以影像学检查为主导
根据世界卫生组织(WHO)制定的分级系统,将脑胶质瘤分为Ⅰ级到Ⅳ级。应该注意:Ⅰ级与Ⅱ级胶质瘤生长缓慢,大脑逐渐适应。当出现癫痫小发作、性格改变、记忆与学习障碍等症状时应尽早进行影像学检查。临床上,CT诊断胶质瘤病较为困难,MRI(核磁共振成像)在发现和显示肿瘤范围方面比CT更为清晰和敏感。
胶质瘤治疗:以手术为主的综合治疗
胶质瘤手术切除的主要目的是获得病理诊断,为选择合适的后续治疗提供组织学依据;切除肿瘤消除占位,降低颅压;减轻肿瘤引起的神经系统症状和体征。手术切除的原则既要尽可能彻底切除肿瘤,缓解颅内压增高和占位效应,改善神经功能,又要尽可能保护脑重要的功能区。
此外,由于肿瘤的浸润性生长,与脑组织间无明显边界,除早期肿瘤小且位于适当部位者外,一般都主张综合治疗。即通过手术全切或近全切为放疗和化疗等联合治疗创造条件,恰当的放射、化学治疗既可延缓复发,延长生存期,还能大幅度提升患者的生存质量。
神经电生理监测下 李士其教授团队成功切除肿瘤
11月5日,李士其教授在黎军主任、潘仁龙主任、黄秀夫医生协助下,为王女士展开了手术。医院脑电监测主任崔丽华早已为患者做好了躯体感觉诱发电位(SSEP)、运动诱发电位(MEP)、触发肌电图(Triggered-EMG)的监测准备,来为主刀医师提供精准“导航”。
李士其教授表示,由于肿瘤较强的浸润性,常导致与正常脑组织之间边界不清。如何在尽可能切除病变组织的同时,以最小的创伤获取最大的治疗效果,是这一类手术的难点。神经电生理监测可以为主刀医师提供重要信息,协助辨别重要神经或脑组织结构,以保护重要的神经组织,减少术后并发症的发生。

▲ 李士其教授团队在手术中

▲ 崔丽华主任在术中神经电生理监测
历时5个小时,籍由神经电生理监测对病灶的精准定位,有着丰富手术经验的李士其教授在显微镜下,精准地完成了肿瘤切除手术,并保留了患者脑功能区在解剖上和功能上的完整性。术后,患者神志清楚,肢体活动和语言功能正常,无新发功能缺损,手术圆满成功。

▲ 患者术后神志清楚、功能正常
术后,李士其教授团队依据病理报告与放、化疗专家展开了MDT讨论,并据此制定了下一步的放化疗方案。有鉴于手术的成功,才为后续的综合治疗打下了良好的基础,提高了患者的生存质量。李士其教授还不忘叮嘱张先生,一定要定期检查,以防再次复发和恶化。
李士其教授郑重提醒,对于胶质瘤应争取做到早期确诊,及时治疗,以提高治疗效果。一旦进入晚期,不但手术困难、危险性大,而且常伴有神经功能缺失后遗症。
版权声明:部分图片源自摄图网,如有版权纠纷,请及时联系医院。一经查实,将立即删除。
此文章仅作为临床学术研究、学术交流使用!
上一篇:头晕呕吐难自理!伽玛刀治疗让她再度“载歌载舞” 下一篇:中年男子突然眩晕呕吐站不稳 是“脑梗”发作了吗?
2026年5月25日是世界预防中风日。脑卒中防治重在“早发现、早预...【详细】


