胶质瘤(Glioma)
来源于神经系统胶质细胞和神经元细胞的肿瘤的统称,是颅内最常见的恶性肿瘤,约占颅内肿瘤的40%-50%。
根据《脑胶质瘤诊疗规范》,我国脑胶质瘤年发病率为5-8/10万,5年病死率在全身肿瘤中仅次于胰腺癌和肺癌。
胶质瘤很难根治,往往会复发
上海蓝十字脑科医院肿瘤科(放疗)头部伽玛刀组陈琦主任介绍,根据胶质瘤的恶性程度级别不同,临床上一般采用世界卫生组织(WHO)制定的分级系统,将胶质瘤化分为四个等级:
Ⅰ级:
毛细胞星状细胞瘤等低级胶质瘤
Ⅱ级:
扩散浸润的低级胶质瘤
Ⅲ级:
间变性星形细胞瘤、间变性室管膜瘤、间变性少突胶质细胞瘤等
Ⅳ级:
通常为胶质母细胞瘤(GBM)
在恶性胶质瘤中,间变性星形细胞瘤(WHO Ⅲ级)和多形性胶质母细胞瘤(WHO Ⅳ级)最为常见。胶质母细胞瘤约占所有胶质瘤的50%。

陈琦主任指出,胶质瘤具有浸润性、弥漫性生长的特点,与正常脑组织无明显界限,多数不限于一个脑叶,呈指状深入破坏脑组织,具有强大的侵袭性,故而难以得到有效根治。残存的肿瘤细胞非常容易从原发灶迁移到周围正常脑组织。通俗一点讲,就像野草一样,“野火烧不尽,春风吹又生”。
胶质瘤术后复发 伽玛刀治疗控制病情进展
目前对胶质瘤的治疗仍以手术为主,但由于肿瘤与正常脑组织没有明显的边界,除早期位置适当、体积较小的肿瘤外,难以做到全部切除,一般主张在进行手术的同时,给予放射治疗、化学治疗、免疫治疗等综合治疗方法,以期达到解除肿瘤占位效应,控制病程进展,延长患者生存期的目的。
然而,高级别的胶质瘤极易在短时间内复发,其所造成的脑功能损害及颅内高压是患者死亡的主要原因。
一旦胶质瘤不幸复发,将给患者健康带来巨大的威胁,甚至可在短时间内造成患者死亡。《中国微侵袭神经外科杂志》于2019年发表的《复发脑胶质瘤的放射治疗进展》(作者:石圆梦,王宏伟)指出,脑胶质瘤复发,不仅是肿瘤侵袭范围可能扩大,还存在低级别胶质瘤恶性程度增高的可能。

对于复发胶质瘤,要根据患者年龄、一般状况、初始治疗反应、复发至首次手术时间、以及复发特点(局灶或弥漫复发)等综合因素,决定下一步的治疗方案,针对性地进行综合治疗。随着放疗技术发展和治疗理念的更新,头部伽玛刀等放射治疗在杀灭或抑制残余肿瘤细胞的同时,毒副作用明显降低,已成为重要的协同治疗手段。在患者无法再次手术的情况下,伽玛刀治疗对延长患者生存期能起到非常关键的作用。
近日,上海蓝十字脑科医院肿瘤科(放疗)收治了一位脑胶质瘤术后复发患者。患者胡某(化名),女性,41岁。2021年1月,患者在外院行右侧颞枕部占位切除术,术后病理示胶质母细胞瘤。行头部伽玛刀治疗后,病情趋于稳定。

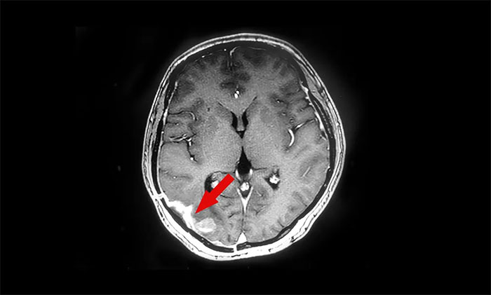
▲治疗前
半年后复查,头颅MR提示颅内肿瘤原位复发,病灶大小约1.5cm*2.3cm,遂至上海蓝十字脑科医院寻求进一步治疗。陈琦主任团队为患者完善相关检查,并开展MDT多学科会诊评估,符合伽玛刀治疗适应症。治疗期间,患者健康状况平稳,未出现明显并发症。

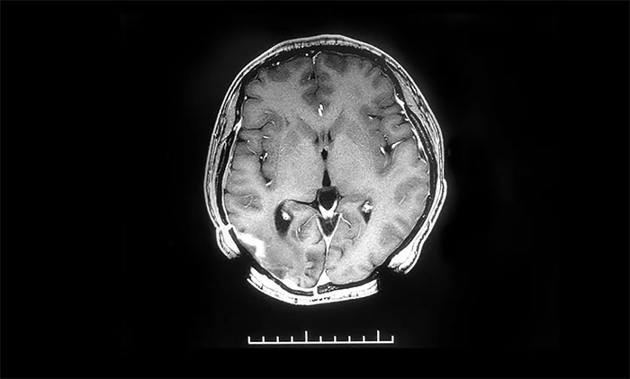
▲治疗后
近期,患者来医院复查,头颅MR提示原右侧颞枕叶胶质瘤术后改变,较前片病灶明显缩小。后续还将根据患者病情变化,有针对性地调整治疗,力求延长患者生存期,提高生存质量。

为更好满足患者多样化的治疗需求,上海蓝十字脑科医院引进了玛西普SRRS型伽玛射线头部立体定向放射治疗系统,可根据病灶形状、大小调整,进行多靶点计划,一次性照射。具有微创、局麻、痛苦小;对患者体质要求相对较低;治疗准确、预后良好、并发症少;治疗简便、减少住院时间等优点,可治疗神经系统疾病、颅脑肿瘤、脑血管疾病、功能性疾病等。
上一篇:手麻、口角歪斜,下肢突发瘫痪,一定是患上中风吗? 下一篇:上了热搜的脑胶质瘤危害到底有多大 听听神经外科于耀宇主任怎么说
2026年5月25日是世界预防中风日。脑卒中防治重在“早发现、早预...【详细】


